
Los alineadores transparentes de AlineaPro® e Invisalign® son prácticamente invisibles, removibles, y la forma más discreta de tratamiento ortodóntico disponible. A nuestros pacientes les encanta el hecho de que pueden sonreír con confianza mientras trabajan en mejorar su sonrisa sin la molestia de los brackets metálicos tradicionales.



En Odontoestética, valoramos la calidad y precisión que ofrecen marcas líderes con las que trabajamos como lo son Invisalign y Alinea Pro. Aunque existen opciones de bajo costo en el mercado, estas a menudo carecen de la personalización y atención al detalle necesarias, lo que puede conducir a problemas futuros. Creemos firmemente que en la ortodoncia, no debemos comprometer la salud y calidad por conveniencia o ahorro de costos.
Se presenta cuando la mandíbula crece de manera anormal o faltan dientes debido a extracciones, lo que hace que se generen espacios entre los dientes.

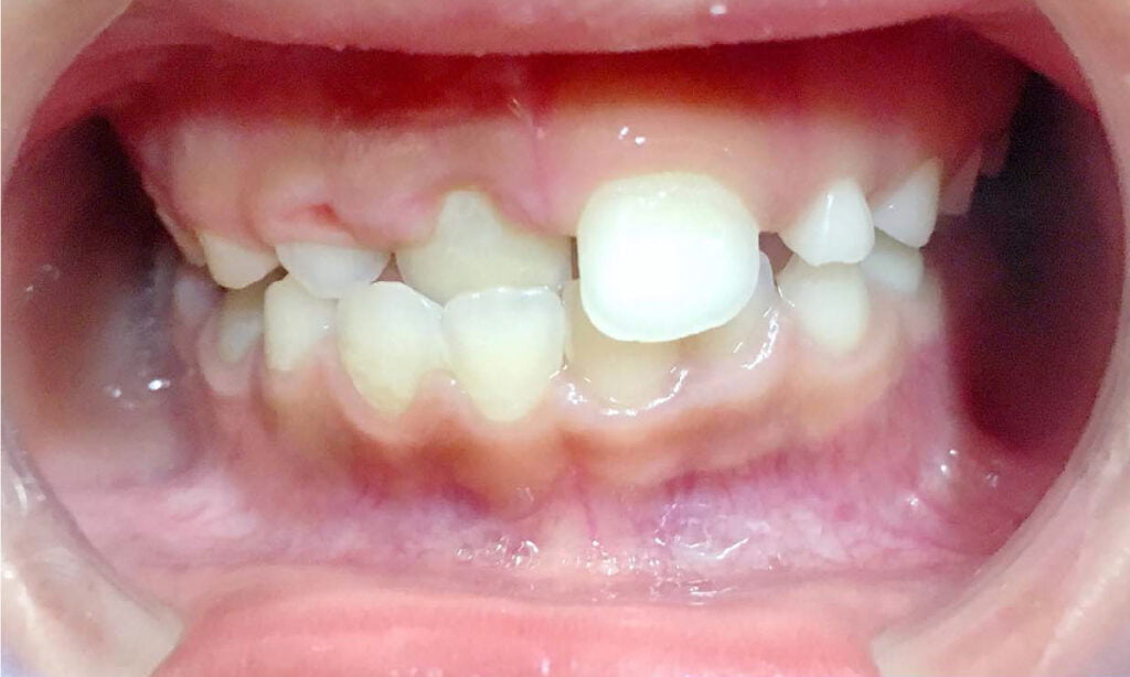
Esta anomalía ocurre cuando no hay suficiente espacio en la boca, lo que genera que los dientes pueden alinearse de forma incorrecta.

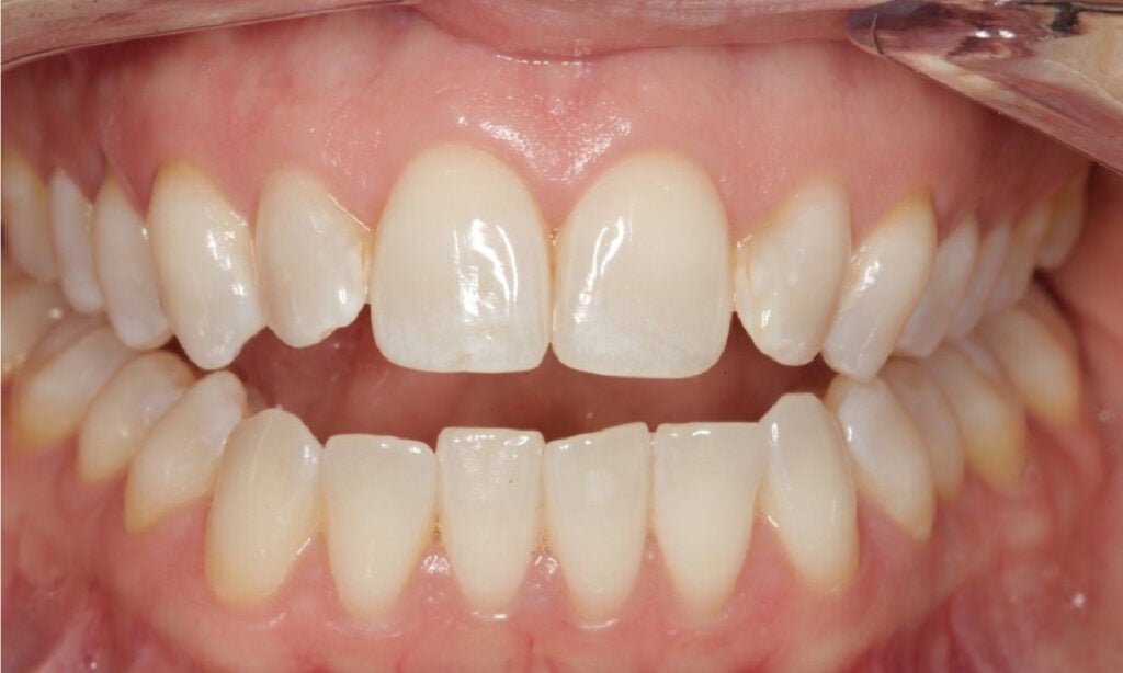
Ocurre cuando todos los dientes o solo algunas piezas superiores cubren los dientes inferiores o se proyectan más allá de estos.

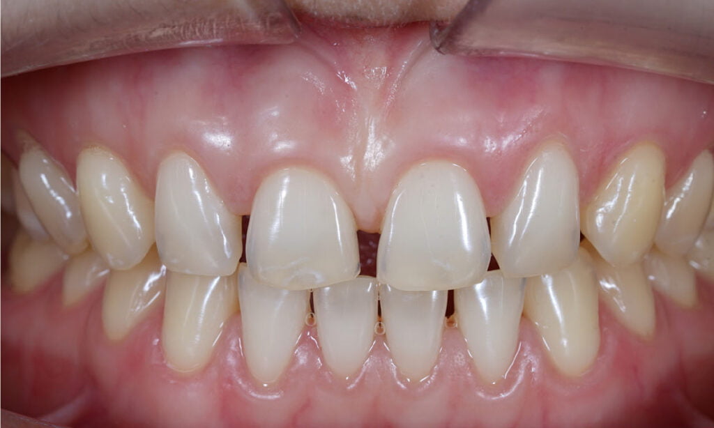
Ocurre cuando los dientes superiores e inferiores no se tocan o se encuentran al cerrar la boca, creando un espacio o «abertura»

Agenda tu primera consulta gratuita desde el botón «reservar hora». Analizaremos tu caso y aclararemos todas tus dudas en una primera cita con un especialista en ortodoncia.
Diseñaremos un plan de tratamiento y simulación 3D con la tecnología más innovadora, lo que te permitirá ver cómo se irán moviendo tus dientes en todo el proceso y como será el resultado final.
Recibe tu kit de alineadores hechos a medida para lograr los resultados que esperas. Sigue las recomendaciones de tu especialista y haz tus controles para garantizar el mejor resultado.
No esperes más para reservar tu hora gratuita. ¡Descubramos tu sonrisa!

Ahora con nuestros aliados b21 podemos apoyarte con financiamiento para tus tratamientos dentales 🦷
¿Qué esperas para descubrir la sonrisa de tus sueños? Te invitamos a agendar una consulta en nuestra clínica, ubicada en Av. Apoquindo 6314 Of. 1204, en el corazón de Las Condes. Nuestro equipo de especialistas está preparado para brindarte una experiencia dental de alto nivel.






Av. Apoquindo 6314 Of. 1204, Las Condes. Contamos con estacionamiento en el edificio.

Respondemos todas tus dudas
Los alineadores invisibles son una alternativa a los brackets y alambre tradicionales utilizados en ortodoncia. Están hechos de material transparente y se ajustan perfectamente a los dientes del paciente para corregir la posición de los dientes.
La posibilidad de usar ortodoncia invisible depende de varios factores, entre ellos la naturaleza y gravedad de tu problema dental. Por lo general, es adecuada para corregir problemas leves a moderados de alineación dental. El paso más seguro es programar una consulta con un especialista, quien puede evaluar tu caso individualmente.
Los casos de maloclusión severa o ciertas condiciones de salud oral podrían requerir métodos de ortodoncia más tradicionales o intensivos. La aptitud se determina caso por caso, por lo que es crucial una evaluación por parte de un especialista.
Dependiendo del caso, puedes ser aún candidato para la ortodoncia invisible. Sin embargo, es importante hablar con tu dentista acerca de tus implantes o coronas para determinar la mejor opción de tratamiento.
El tratamiento con ortodoncia invisible generalmente dura entre 3 a 18 meses, pero el tiempo exacto varía dependiendo de la complejidad del caso.
El número de alineadores que tendrás que usar variará según tu caso específico. Cada juego de alineadores se usa durante 1-2 semanas antes de cambiar al siguiente.
Los alineadores generalmente se cambian cada 1-2 semanas. Tu dentista te proporcionará un plan de tratamiento específico.
Debes limpiar tus alineadores diariamente con agua tibia y jabón neutro, y asegurarte de mantener una buena higiene oral. Evita alimentos o bebidas calientes mientras los llevas puestos, ya que pueden deformarlos.
Puedes comer cualquier alimento, siempre y cuando te quites los alineadores antes de comer. Evita masticar chicle y fumar mientras los llevas puestos.
La ortodoncia invisible ofrece varias ventajas sobre la ortodoncia tradicional. Los alineadores son prácticamente invisibles, por lo que son una opción estéticamente agradable. Además, son extraíbles, lo que facilita la limpieza y el mantenimiento de una buena higiene oral. También suelen ser más cómodos que los brackets y alambres tradicionales. Sin embargo, la elección entre la ortodoncia invisible y la tradicional dependerá de tus necesidades y preferencias individuales.
No trabajamos con Isapres o Fonasa, sin embargo, si cuentas con seguro complementario, puedes hacérnoslo saber para guiarte de la mejor manera en relación con el copago de tu tratamiento.


No enviamos spam. Al enviar el formulario, aceptas que el equipo de Odontoestética entre en contacto contigo.